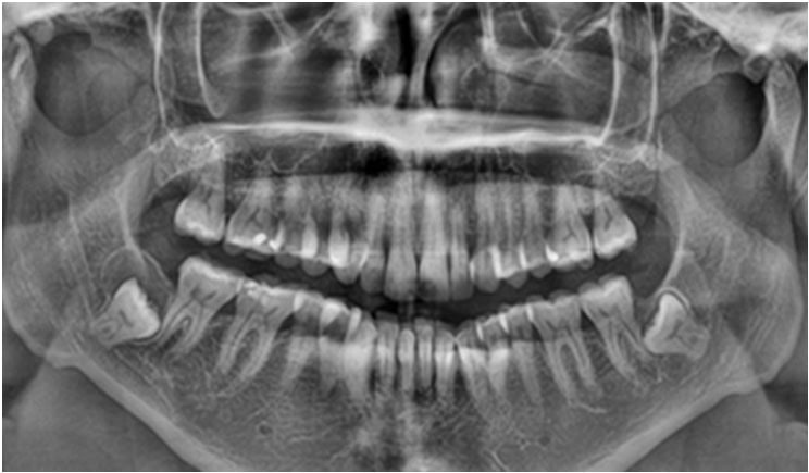
Panoramic dental X-ray showing a large jaw cyst associated with an unerupted tooth
Benign Growths & Early Intervention

Jaw Cysts and Tumors

Jaw cysts and tumors are abnormal growths that develop within the jaw bones or surrounding tissues. Many of these conditions grow slowly and painlessly, which means patients may not notice them in the early stages. They are often detected during routine dental X-rays or regular check-ups.

Jaw cysts are usually benign and fluid-filled, while jaw tumors may be benign or, rarely, more aggressive. If left untreated, they can cause jaw swelling, pain, tooth displacement, infection, facial asymmetry, or weakening of the jaw bone.

Importance of Early Detection and Management

Regular dental check-ups play a crucial role in early diagnosis, often before symptoms appear. Early detection allows:

  • Simpler and less invasive treatment
  • Preservation of jaw bone and nearby teeth
  • Faster healing and better outcomes
  • Reduced risk of complications or recurrence

At T32 Dental and Maxillofacial Clinic, jaw cysts and tumors are managed with thorough evaluation, advanced imaging, and appropriate surgical care when required. Each case is carefully planned to ensure safe removal while protecting function and appearance.

Early care makes a big difference—timely diagnosis and treatment can prevent major surgery and long-term problems

Detect and treat jaw growths early for optimal results

Expert evaluation and gentle surgical care when needed.

Book Jaw Cyst/Tumor Consultation