Logo
  • Home
  • About Us
  • Services
  • Gallery
  • Contact Us
  • book appointment
book appointment

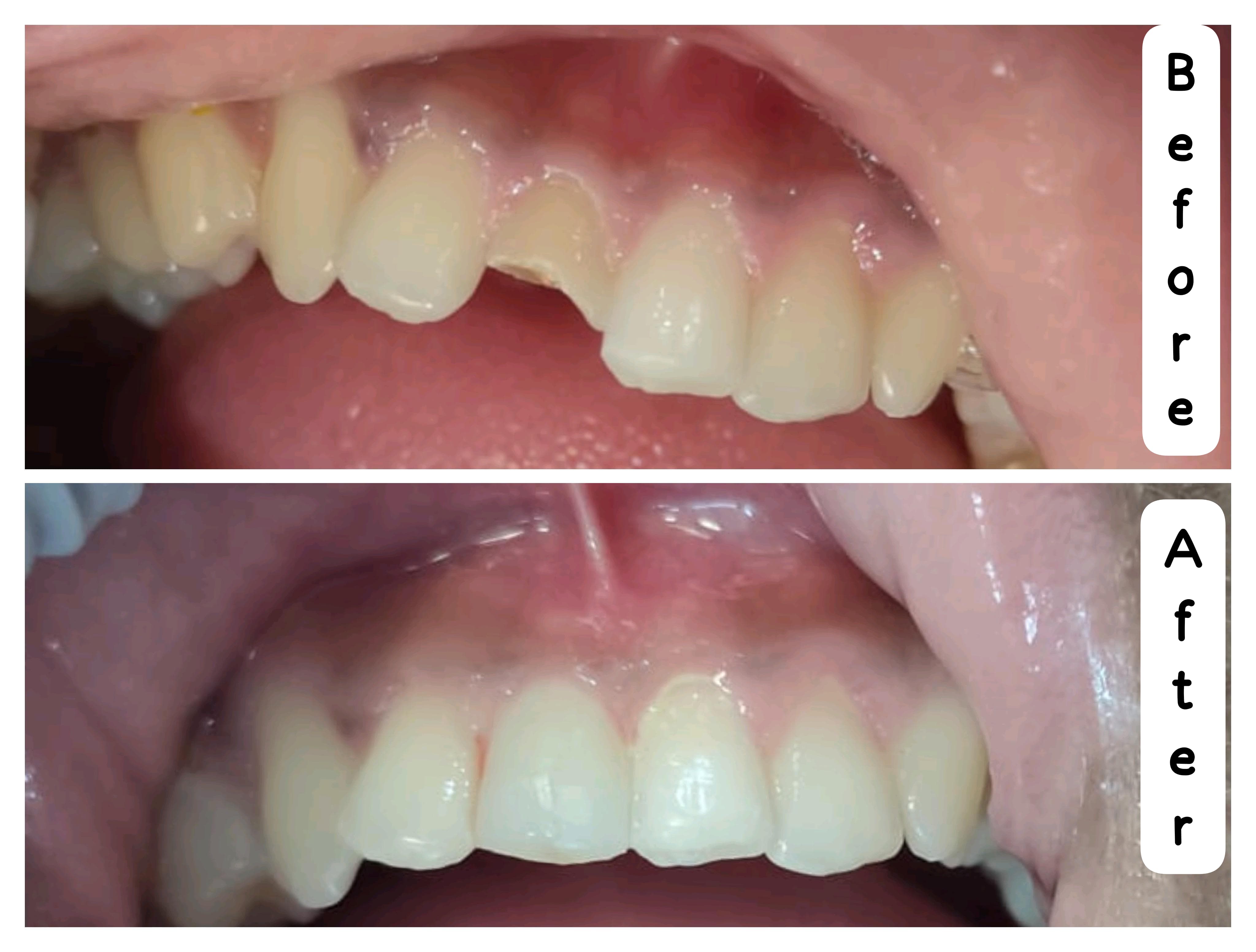
Gallery

The goal our clinic is provide friendly, caring dentistry and highest level of general, cosmetic, and specialist dental treatments.

quick links

  • home
  • about us
  • services
  • Gallery
  • book apoointment

Contact Us

  • kesirajuomfs@gmail.com
  • 0883 2433377
  • +91 8688683377

Copyright © 2025 All Rights Reserved. Designed & Developed by Sunraise Solutions